Hastalıklar ve Tedaviler
Bel
Boyun
Sırt Fıtığı
Kamburluk (Kifoz)
Omurga Kırıkları
Omurilik Tümörü
Ağrı Tedavileri
Beyin Kanaması
Beyin Damar Anevrizması
Beyin Tümörü
Hipofiz Tümörleri
Serebellopontin Köşe Tümörü
Travmatik Beyin Yaralanmaları
Hidrosefali ve Şant Ameliyatları
Hidrosefali ve Şant Ameliyatları
Sinir Sıkışmaları
Torasik Outlet Sendromu
Gamma-Knife
Parkinson Cerrahisi
Epilepsi Cerrahisi
Çocuk Beyin Cerrahisi
- Kraniyosinositoz
- Meningomiyelosel
- Çocuklarda Beyin Tümörleri
- Çocuklarda Omurga Tümörleri
Hakkımda
Merhaba!
Ben Op. Dr. Emir DARCAN. Beyin Sinir ve Omurilik Cerrahisi Uzmanıyım. İstanbul Üniversitesi Cerrahpaşa Tıp Fakültesi İngilizce Tıp Bölümü’nden mezun oldum. Öğrenciliğim sırasında insan sinir sistemine olan hayranlığım nedeni ile 2010 yılında Universitat Autònoma de Barcelona’da SinirBilim stajı, 2012’de Wroclaw Üniversitesinde cerrahi stajı yaptım. 2015 yılında İstanbul’da Türkiyenin ilk ve en köklü beyin cerrahisi kliniği olan Bakırköy Prof. Dr. Mazhar Osman Ruh ve Sinir Hastalıkları Eğitim Araştırma Hastanesinde başladığım uzmanlık eğitimimi 2021 yılında tamamladım. Uzmanlık alanlarım arasında:
- Omurga Hastalıkları ve Cerrahi Tedavileri
- Beyin Tümörleri ve Cerrahisi
- Minimal İnvaziv Cerrahi Teknikler bulunmaktadır.
Sorularınız, endişeleriniz veya tedavi planınızla ilgili bilgi almak için benimle iletişime geçmekten çekinmeyin.
Sağlıkla kalın!
Op. Dr. Emir DARCAN
Beyin Sinir ve Omurilik Cerrahisi Uzmanı
Son Yazılarım
Beyin Cerrahisi ve Hamilelik: Özel Bir Denge
Hamilelik sırasında ortaya çıkan beyin ve omurga sorunları, tedavi planlaması ve cerrahi müdahale gerekliliği açısından özel bir yaklaşım gerektirir. Hem anne hem de bebeğin sağlığını koruyarak tedavi sağlamak, multidisipliner bir değerlendirme süreci gerektirir. İşte...
Kişisel Verilerin Korunması Kanunu (KVKK) Aydınlatma Metni
1. Veri Sorumlusu Bu web sitesi üzerinden toplanan kişisel verileriniz, Emir Darcan (“Veri Sorumlusu”) tarafından, 6698 Sayılı Kişisel Verilerin Korunması Kanunu (“KVKK”) kapsamında işlenmektedir. 2. İşlenen Kişisel...
Beyin Kanaması
Beyin Kanaması Nedir? Beyin kanaması, beynin içinde veya çevresindeki damarlardan birinin yırtılması sonucu kanın beyin dokusu içine veya çevresine sızması durumudur. Bu durum, beyin hücrelerine zarar vererek ciddi nörolojik kayıplara veya hayati tehlikelere yol...
Faset Eklem Blokajı ve Radyofrekans Ablasyon
Faset Eklem Blokajı Nedir? Faset eklem blokajı, omurgadaki faset eklemlerinden kaynaklanan ağrıyı teşhis etmek ve tedavi etmek için kullanılan bir enjeksiyon yöntemidir. Faset eklemler, omurganın hareketine ve stabilitesine yardımcı olan küçük eklemlerdir. Bu...
Epidural Enjeksiyon (Steroid ve Anestezik Madde Uygulaması)
Epidural Enjeksiyon (Steroid ve Anestezik Madde Uygulaması) Epidural Enjeksiyon Nedir? Epidural enjeksiyon, omurga çevresindeki epidural boşluğa steroid ve/veya lokal anestezik madde enjekte edilerek ağrıyı hafifletmek için yapılan bir tedavi yöntemidir....
Menenjiom: Nedir ve Nasıl Tedavi Edilir?
Menenjiom: Nedir ve Nasıl Tedavi Edilir? Menenjiom, beynin ve omuriliğin etrafındaki koruyucu zar olan meninkslerden kaynaklanan genellikle iyi huylu bir beyin tümörüdür. Menenjiomlar, tüm beyin tümörlerinin yaklaşık %30’unu oluşturur ve genellikle yavaş...
Beyin Tümörü
Beyin Tümörü Nedir? Beyin tümörü, beyindeki hücrelerin kontrolsüz şekilde büyümesi sonucu oluşan anormal bir kitle veya büyümedir. Bu tümörler iyi huylu (benign) veya kötü huylu (malign) olabilir. Beyin tümörleri, doğrudan beyinden kaynaklanabilir (birincil...
Prolaktinoma
Prolaktinoma Nedir? Prolaktinoma, beyindeki hipofiz bezinin ön lobunda gelişen ve prolaktin adı verilen hormonun aşırı üretilmesine neden olan iyi huylu (benign) bir tümördür. Hipofiz bezi, vücudun hormonal dengesini düzenleyen bir merkezdir ve prolaktin...
Akromegali
Akromegali Nedir? Akromegali, hipofiz bezinde büyüme hormonunun (GH) aşırı salgılanması sonucu gelişen, nadir görülen bir hormonal hastalıktır. Bu durum, genellikle hipofiz bezindeki iyi huylu bir tümör (adenom) nedeniyle oluşur. Hastalık, genellikle yavaş...
Cushing Hastalığı
Cushing Hastalığı Nedir? Cushing hastalığı, hipofiz bezinde oluşan bir tümörün (adenom) aşırı miktarda adrenokortikotropik hormon (ACTH) salgılaması sonucu gelişir. ACTH, böbreküstü bezlerini uyararak kortizol adı verilen stres hormonunun fazla miktarda...
Hipofiz Tümörleri
Hipofiz Tümörleri Nedir? Hipofiz tümörleri, beynin tabanında bulunan ve hormon salgılamadan sorumlu olan hipofiz bezinde gelişen anormal hücre büyümeleridir. Hipofiz tümörlerinin büyük çoğunluğu iyi huyludur (benign) ve metastaz yapmaz. Ancak, hormon üretimini...
Serebellopontin Köşe Tümörü (CP Açısı Tümörü)
Serebellopontin Köşe Tümörü Nedir? Serebellopontin köşe (CP açısı) tümörleri, beynin arka kısmında, beyincik (serebellum) ile beyin sapı arasında yer alan bölgede gelişen tümörlerdir. Bu bölge, kritik sinirler ve damarlardan oluştuğu için tümörler, çevre...
Travmatik Beyin Yaralanmaları
Travmatik Beyin Yaralanması Nedir? Travmatik beyin yaralanması (TBY), başa alınan darbeler, sarsıntılar veya penetran yaralanmalar sonucunda beyin dokusunda meydana gelen hasarları tanımlar. TBY, hafif bir sarsıntıdan (konküzyon) ciddi bir beyin hasarına kadar...
Hidrosefali ve Şant Ameliyatları
Hidrosefali Nedir? Hidrosefali, beyinde bulunan beyin omurilik sıvısının (BOS) aşırı birikmesiyle oluşan bir durumdur. BOS, beyni ve omuriliği koruyarak darbelere karşı yastık görevi görür ve atık ürünlerin taşınmasına yardımcı olur. Ancak sıvının üretim,...
Beyincik Sarkması (Chiari Sendromu)
Chiari Sendromu Nedir? Chiari sendromu, beyinciğin bir kısmının (beyinciğin tonsilleri), kafatasının altındaki foramen magnum adı verilen açıklıktan aşağıya doğru sarkarak omurilik kanalına doğru itilmesiyle oluşan bir durumdur. Bu anormal yerleşim, beyin...
Beyin Ameliyatı Olmaya Karar Verme: Dikkat Edilmesi Gerekenler
Beyin ameliyatı kararı, hastalar ve aileleri için zorlu bir süreçtir. Bu karar, hastalığın özellikleri, cerrahinin riskleri, faydaları ve ameliyat sonrası yaşam üzerindeki etkileri dikkate alınarak verilmelidir. İşte bu süreçte dikkat edilmesi gereken temel...
Beyin Cerrahı Seçimi: Hastaların Dikkat Etmesi Gerekenler
Beyin cerrahı seçimi, hayati önem taşıyan bir karardır. Doğru cerrahı seçmek, tedavi sürecinde güven, başarı oranı ve hastanın yaşam kalitesi açısından büyük fark yaratabilir. İşte beyin cerrahı seçerken dikkate alınması gereken temel noktalar: 1. Uzmanlık ve...
Epilepsi Cerrahisi
Epilepsi Cerrahisi Nedir? Epilepsi cerrahisi, nöbetleri kontrol altına almak veya tamamen ortadan kaldırmak için beyindeki anormal elektriksel aktiviteye neden olan bölgenin çıkarılması, değiştirilmesi veya nöbetleri durduracak şekilde modifiye edilmesini...
Beyin Damar Anevrizması
Beyin Damar Anevrizması Beyin Damar Anevrizması Nedir? Beyin damar anevrizması, beyin damarlarının duvarında zayıflamış bir bölgenin balonlaşmasıyla oluşur. Anevrizma, genellikle semptomlara neden olmadan varlığını sürdürebilir ancak yırtıldığında (rüptür)...
Omurilik Tümörü
Omurilik Tümörü Nedir? Omurilik tümörü, omuriliğin içinde, omuriliği çevreleyen zarın içinde veya omurga kemiklerinin içinde büyüyen anormal hücre çoğalmalarıdır. Bu tümörler, iyi huylu (benign) veya kötü huylu (malign)...
Vertebroplasti
Vertebroplasti Nedir? Vertebroplasti, omurgadaki çökmüş veya kırılmış bir vertebrayı stabilize etmek için özel bir kemik çimentosunun enjekte edildiği minimal invaziv bir cerrahi yöntemdir. Bu işlem, özellikle osteoporoza...
Omurga Kırıkları (Vertebra Fraktürleri)
Omurga Kırıkları Nedir? Omurga kırıkları, omurgayı oluşturan vertebraların (omurların) travma, osteoporoz, tümörler veya başka bir neden sonucu hasar görmesiyle oluşur. Bu kırıklar omurganın yapısal bütünlüğünü bozabilir ve sinir dokularına zarar vererek ciddi...
Kamburluk (Kifoz)
Kifoz Nedir? Kifoz, omurganın göğüs (torakal) bölgesinde normalden daha fazla eğrilik oluşması durumudur. Halk arasında “kamburluk” olarak bilinir. Omurganın doğal eğriliği 20-45 derece arasında değişir, ancak bu açı 50...
Dejeneratif Skolyoz
Dejeneratif Skolyoz Nedir? Dejeneratif skolyoz, omurganın yaşlanmaya bağlı olarak yapısal bozulmalara uğraması sonucu ortaya çıkan yana doğru eğrilik durumudur. Bu tür skolyoz, genellikle omurgada kireçlenme, disk dejenerasyonu ve faset eklemlerindeki bozulmalar...
Konjenital Skolyoz
Konjenital Skolyoz Nedir? Konjenital skolyoz, omurganın doğuştan gelen yapısal bozuklukları nedeniyle oluşan anormal eğriliklerdir. Bu durum, anne karnında omurların gelişimi sırasında meydana gelen anomalilerden kaynaklanır. Omurga, yana doğru eğilirken aynı...
Sırt Fıtığı (Torakal Disk Hernisi)
Sırt Fıtığı Nedir? Sırt fıtığı, omurganın torakal bölgesindeki (göğüs kısmı) omurlar arasında yer alan disklerin, dış çeperinin yırtılmasıyla iç kısmındaki jelimsi maddenin dışarı çıkarak omurilik veya sinir köklerine baskı yapması durumudur. Sırt fıtığı, bel ve...
Boyunda Omurilik Kanalı Daralması (Servikal Spinal Stenoz)
Servikal Spinal Stenoz Nedir? Servikal spinal stenoz, boyun bölgesindeki omurilik kanalının daralması sonucu omuriliğe veya sinir köklerine baskı yapması durumudur. Bu baskı, sinirlerin düzgün çalışmasını engelleyerek boyun, omuz, kollar ve hatta bacaklarda...
Boyun Fıtığı (Servikal Disk Hernisi)
Boyun Fıtığı Nedir? Boyun fıtığı, boyun bölgesindeki (servikal omurga) omurlar arasında bulunan disklerin, dış çeperinin yırtılması sonucu içindeki jelimsi maddenin dışarı çıkmasıdır. Bu durum, omurilik veya sinir köklerine baskı yaparak boyun, omuz ve kol...
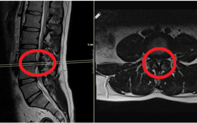
Bel Fıtığı (Lomber Disk Hernisi)
Bel Fıtığı Nedir? Bel fıtığı, omurlar arasında yer alan ve amortisör görevi gören disklerin, dış çeperinin zayıflayıp yırtılması sonucu iç kısmındaki jel benzeri yapının dışarı çıkmasıdır. Bu dışarı çıkan doku, sinir köklerine baskı yaparak ağrı, uyuşma ve güç...
Bel Kayması (Spondilolistezis)
Bel Kayması Nedir? Bel kayması, omurgadaki bir omurun, alttaki omura göre öne doğru kayması durumudur. Tıp dilinde "spondilolistezis" olarak adlandırılan bu durum, omurganın yapısal stabilitesini bozarak sinir köklerine baskı yapabilir. Bu baskı, bel ağrısından...
Karpal Tünel Sendromu (El Bileğinde Sinir Sıkışması)
Karpal Tünel Sendromu Nedir? Karpal tünel sendromu, el bileğinde median sinirin sıkışması sonucu ortaya çıkan bir durumdur. Median sinir, elin hareket ve hissiyatını kontrol eden önemli bir sinirdir. Bu sinir, el bileğindeki dar bir geçit olan karpal tünelden...
Parkinson Cerrahisi
Parkinson Cerrahisi Nedir? Parkinson cerrahisi, Parkinson hastalığının motor semptomlarını (titreme, kas sertliği, hareket yavaşlığı) hafifletmek için uygulanan invaziv tedavi yöntemlerini kapsar. Cerrahi yöntemler, genellikle ilaç tedavisinin yeterince etkili...
Torasik Outlet Sendromu (TOS)
Torasik Outlet Sendromu Nedir? Torasik Outlet Sendromu (TOS), omuz ve boyun arasında yer alan torasik outlet adı verilen geçitte, sinirlerin veya damarların sıkışması sonucu oluşan bir durumdur. Bu geçit, boyundan kola giden damar ve sinirlerin geçtiği dar bir...
Peroneal Sinir Sıkışması (Peroneal Nöropati)
Peroneal Sinir Sıkışması Nedir? Peroneal sinir sıkışması, bacak dış yüzünden geçerek ayak bileğine ve ayağa hareket ve duyusal işlev sağlayan peroneal sinirin çeşitli nedenlerle baskı altında kalmasıdır. Bu durum, bacak ve ayakta güçsüzlük, uyuşma ve duyu...
Omurga Ameliyatı Olmaya Karar Verme: Dikkat Edilmesi Gerekenler
Omurga ameliyatı, genellikle ağrı, hareket kısıtlılığı veya sinir sıkışması gibi sorunlara kalıcı çözüm sunmak için önerilir. Ancak bu ciddi bir karar olup, ameliyatın faydalarını, risklerini ve alternatiflerini değerlendirmek önemlidir. İşte omurga ameliyatı kararı...
Beyin Cerrahisi ve İleri Teknoloji: Geleceği Şekillendiren Yenilikler
Beyin cerrahisi, teknolojinin hızla geliştiği bir alandır. İleri teknolojiler, cerrahların daha güvenli, hassas ve etkili müdahaleler yapmasını sağlayarak hasta sonuçlarını iyileştirmektedir. Bu yazıda, modern beyin cerrahisinde kullanılan ileri teknolojiler ve...
Meningomiyelosel
Meningomiyelosel Nedir? Meningomiyelosel, omurga ve omuriliğin doğumsal bir anomalisi olan spina bifida'nın en ciddi türlerinden biridir. Bu durum, omuriliği çevreleyen dokuların ve sinirlerin sırt bölgesindeki bir açıklıktan dışarı çıkmasıyla oluşur. Genellikle...
Kraniyosinositoz
Kraniyosinostoz Nedir? Kraniyosinostoz, bir bebeğin kafatasını oluşturan kemiklerin arasındaki esnek bağ dokuların (dikişlerin) normalden daha erken kaynaşması sonucu ortaya çıkan bir durumdur. Bu durum, kafatasının normal büyüme ve gelişimini etkileyerek şekil...
Omurga Hastalıkları ve Hamilelik: Sağlıklı Bir Süreç İçin Bilinmesi Gerekenler
Hamilelik, omurga üzerinde fiziksel ve hormonal değişikliklerin neden olduğu önemli etkiler yaratır. Omurga hastalıkları olan kadınlar için bu süreç, dikkatli bir yönetim ve planlama gerektirir. İşte omurga hastalıkları ve hamilelik hakkında bilinmesi gerekenler: ...
Beyin Cerrahisi ve Yaşlılık: Omurga ve Beyin Hastalıklarıyla İlgili Yaşlanmanın Etkileri
Yaşlanma, beyin ve omurga sağlığı üzerinde belirgin etkiler yaratır. Beyin cerrahisi açısından, yaşlı bireylerde görülen hastalıklar ve tedavi yaklaşımları, yaşlanmanın getirdiği fizyolojik değişikliklerle birlikte değerlendirilmelidir. İşte yaşlanmanın beyin ve...
Boyun Ağrısı ve Spor: Egzersizle Rahatlama ve Güçlenme
Boyun ağrısı, günümüzde yaygın bir problem olup genellikle kas gerginliği, duruş bozuklukları veya omurgadaki yapısal sorunlardan kaynaklanır. Doğru spor ve egzersizler, boyun ağrısını hafifletmek ve boyun bölgesindeki kasları güçlendirmek için etkili bir yöntemdir....
Bel Ağrısı ve Spor: Hareketle Ağrıyı Yönetmek
Bel ağrısı, spor yaparken veya fiziksel aktiviteler sırasında dikkat edilmesi gereken yaygın bir sorundur. Ancak doğru spor türlerini seçmek ve uygun tekniklerle egzersiz yapmak, bel ağrısını hafifletmek ve omurga sağlığını desteklemek için önemli bir rol oynar. Bu...
Bel Ağrısı ve Cinsellik: Sağlıklı Bir Yaşam İçin Dengeyi Bulmak
Bel ağrısı, birçok kişinin yaşam kalitesini olumsuz etkileyen yaygın bir sorundur ve cinsellik üzerindeki etkileri de sıkça göz ardı edilir. Ancak bel ağrısı, hem fiziksel hem de psikolojik olarak cinsel yaşamı etkileyebilir. Bu yazıda, bel ağrısının cinsellik...
Omurga Enfeksiyonları: Nedir ve Nasıl Tedavi Edilir?
Omurga enfeksiyonları, omurga kemiklerini (vertebra), omurlar arasındaki diskleri veya omuriliği çevreleyen dokuları etkileyen ciddi bir enfeksiyon türüdür. Bu durum, genellikle bakteriyel veya fungal enfeksiyonlardan kaynaklanır...
Ulnar Tünel Sendromu
Ulnar Tünel Sendromu Nedir? Ulnar tünel sendromu, el bileğinde bulunan Guyon kanalı adı verilen bir tünel içinde geçen ulnar sinirin sıkışmasıyla oluşan bir durumdur. Ulnar sinir, elin küçük parmağı ve yüzük parmağının yarısı ile avuç içinin bazı bölgelerine...
Beyin Sağlığı ve Beslenme: Zihinsel Performansı Artıran Yiyecekler
Bugün sizlerle oldukça önemli bir konuyu, beyin sağlığı ve beslenme ilişkisini konuşacağız. Beynimiz, vücudumuzdaki en karmaşık organlardan biridir ve sağlıklı bir şekilde çalışabilmesi için doğru besinlere ihtiyaç duyar. Beslenme alışkanlıklarımız, sadece fiziksel...
Beyin Sağlığı ve Sigara: Zararlı Etkiler ve Bırakmanın Faydaları
Sigara içmek, genel sağlığımız üzerinde pek çok olumsuz etkiye sahip olmasının yanı sıra, beyin sağlığımızı da ciddi şekilde tehdit eder. Bu etkiler hem kısa vadede hem de uzun vadede görülebilir. Ancak, iyi haber şu ki, sigarayı bırakmak bu riskleri azaltabilir ve...
Gamma Knife
Gamma Knife Nedir? Gamma Knife, beynin belirli bölgelerine yüksek hassasiyetle radyasyon ışınları göndererek tedavi sağlayan bir stereotaktik radyocerrahi yöntemidir. Cerrahi kesilere gerek duymadan gerçekleştirilen bu işlem, beynin derinliklerinde bulunan lezyonları...
Belde Omurilik Kanalı Daralması (Spinal Stenoz)
Spinal Stenoz Nedir? Spinal stenoz, omurilik ve sinirlerin geçtiği kanalın daralmasıdır. Bu daralma, sinirlerin sıkışmasına yol açarak bel ve bacaklarda ağrı, uyuşma ve güç kaybı gibi sorunlara neden olabilir. Genellikle yaşlanmaya bağlı omurga dejenerasyonu sonucu...













































